Zašto je održavanje ritejnera važno?
Završetak ortodontske terapije donosi veliko olakšanje i zadovoljstvo savršenim osmijehom, ali posao tu ne prestaje. Nošenje ritejnera za zube sprečava da se zubi vrate u prethodni položaj. Međutim, da bi retencijska faza bila uspješna, pravilno održavanje ritejnera je ključno.
U ovom tekstu saznaćete sve što treba da znate o čišćenju, čuvanju i pravilnom korištenju ritejnera – bez komplikovanih termina, jasno i korisno.
Šta je ritejner i čemu služi?
Ritejner je ortodontski aparat koji se nosi nakon skidanja fiksnog aparatića kako bi zubi ostali u novom, pravilnom položaju. Postoje dvije osnovne vrste:
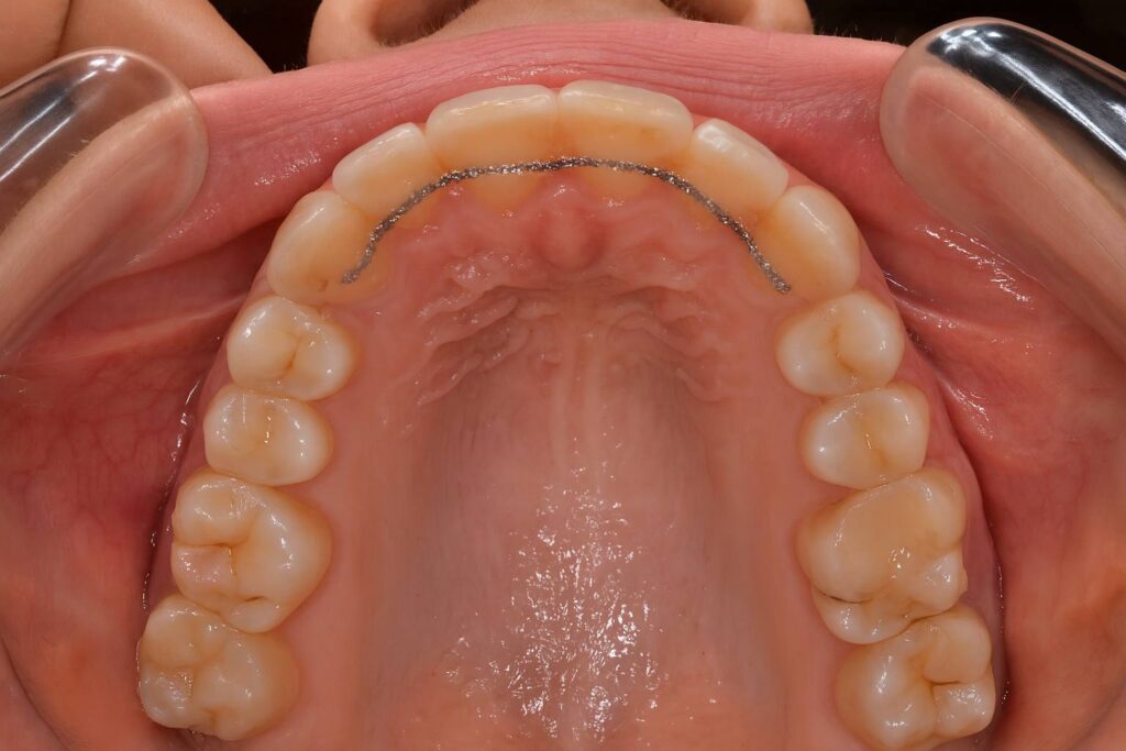
Fiksni ritejner – tanka metalna žica koja se zalijepi iza zuba.

Mobilni ritejner – providna folija (poput alignera) ili klasična plastična ploča koja se nosi tokom noći.

O vrstama i izboru više možete pročitati u tekstu „Koje vrste retainera postoje?“
Kako čistiti ritejner ?
1. Čišćenje mobilnog ritejner
Mobilni ritejner treba prati svaki dan, idealno nakon svakog nošenja.
Preporučene metode:
- Voda i četkica – Koristite mekanu četkicu za zube i mlaku vodu. Nikako ne koristite toplu vodu jer može deformisati plastiku.
- Tablete za čišćenje – Posebno formulisane tablete koje uklanjaju bakterije i naslage. Rastvore se u čaši vode, a retainer se uranja na 15–20 minuta. Pogledajte naš blog „Tablete za čišćenje folija za zube“.
- Ne koristite pastu za zube – Iako djeluje logično, paste s abrazivima mogu oštetiti površinu ritejnera.
2. Čišćenje fiksnog ritejnera
Fiksni ritejner zahtijeva pažljivo čišćenje područja oko žice i između zuba:
- Koristite interdentalne četkice
- Redovno praktikujte profesionalno čišćenje kod stomatologa.
Koliko često se ritejner treba mijenjati?
Ako redovno održavate mobilni ritejner, može trajati i do 5 godina. Međutim:
- Ako se iskrivi, pukne ili više ne leži pravilno – treba ga zamijeniti.
- Fiksni rritejner može trajati i duže, ali ako se odlijepi ili ošteti, posjetite ortodonta odmah.
Zakažite kontrolu ako primijetite bilo kakvo oštećenje retainera.
Gdje i kako čuvati retainer?
- Uvijek ga čuvajte u čvrstoj kutiji sa ventilacijom.
- Ne umotavajte ga u papirne ubruse – lako se baci greškom.
- Ne ostavljajte ga na suncu, u toplim prostorima ili blizu kućnih ljubimaca (da, često ih psi grizu!).
Koliko dugo se nosi ritejner ?
Na početku cijeli dan. Vremenom, ortodont može preporučiti rjeđe nošenje (npr. svaku noć), ali ne treba prestati bez savjeta ortodonta.
Najčešće greške u održavanju retainera
- Pranje vrelom vodom (deformacija)
- Korištenje paste za zube
- Nošenje ritejnera bez prethodnog pranja zuba
- Neredovno čišćenje
- Nepravilno čuvanje (gubljenje, oštećenje)
Da li ritejner može izazvati zadah?
Ako se ne čisti redovno – da. Bakterije se nakupljaju na površini i u mikro-pukotinama. Redovno čišćenje i ispiranje zuba prije nošenja sprečava neprijatan miris.
Kada se treba javiti ortodontu?
Obratite se ortodontu ako:
- Vam retainer više ne pristaje kako treba
- Osjećate nelagodu, žuljanje ili bol
- Primijetite da se zubi pomjeraju
💬 Kontaktirajte nas za besplatan pregled i provjeru stanja ritejnera !
Higijena + redovnost = savršen osmijeh
Ritejner je ključan dio ortodontske terapije – zadržava sve ono što je postignuto aparatićem. Pravilna higijena, redovno nošenje i čuvanje omogućavaju da vaš osmijeh ostane ravan, zdrav i dugotrajan.
Ako ste nedavno završili terapiju ili imate pitanja o održavanju ritejnera, obratite se našem timu i dobićete stručan savjet prilagođen baš vama.đ
Pročitajte još:
- Da li je sigurno nositi aparatić tokom trudnoće?
- Ortognatska (hirurška) ortodoncija – kada aparatić nije dovoljan i zašto je hirurgija ponekad najbolje rješenje
- Ubrzana ortodontska terapija – kako moderni pristupi skraćuju vrijeme nošenja aparata bez kompromisa u rezultatima?
- Ortodoncija i poremećaji disanja u snu – kako zagriz utiče na kvalitet sna i zdravlje?
- Razlika između fiksnog zubnog aparata i proteze: Zašto ih ljudi poistovjećuju?
dr Igor Rvović
Specijalista ortodoncijeSpecijalista ortopedije vilica (ortodoncije). Specijalistički staž obavljao u Banjaluci i na Vojnomedicinskoj akademiji (VMA) u Beogradu. Član Ortodontskog udruženja Srbije. Redovno posjećuje seminare, stručne skupove i kongrese na kojima prati najsavremenija dostignuća u stomatologiji (Berlin 2015, Beograd 2016, Dizeldorf 2017).
Posebno obučen za rad sa mini-implantima, a kao stručnjak u oblasti ortodoncije doprinosi timu u rješavanju kompleksnih situacija kombinujući ortodonsko-hiruški i protetski aspekt. Aktivno govori engleski i njemački jezik.
Dr Rvović trenutno ordinira u stomatološkom centru dr Antonić u Banjaluci na adresi Jevrejska 103A.


Comments are closed